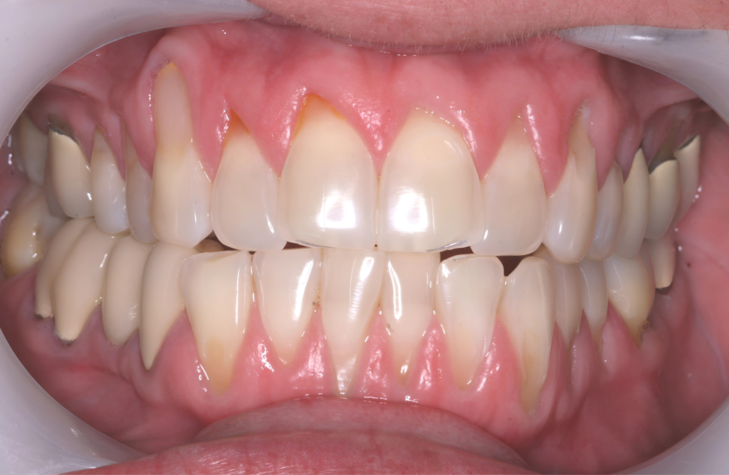
Pinhole® Gum Rejuvenation is performed by making small holes with a needle in the gum tissue. Using specially designed instruments, the gum tissue is loosened and guided over the receded part of the tooth. Since there is no cutting or stitching, patients can expect minimal post-operative symptoms (pain, swelling and bleeding). Patients experience instant cosmetic results and are typically back to normal activities in 24 to 48 hours after the procedure.








